Image:Intracerebral heamorrage 2.jpg
From Wikipedia, the free encyclopedia

Size of this preview: 388 × 480 pixels
Full resolution (1,200 × 1,484 pixels, file size: 205 KB, MIME type: image/jpeg)
Summary
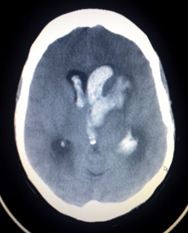
This image shows an Intracerebral and Intraventriclar haemorrhage of a young woman. The woman was one week post partum, with no known trauma involved.
Licensing
![]() |
I, the copyright holder of this work, hereby release it into the public domain. This applies worldwide. In case this is not legally possible, |
File history
Click on a date/time to view the file as it appeared at that time.
| Date/Time | Dimensions | User | Comment | |
|---|---|---|---|---|
| current | 16:32, 24 June 2007 | 1,200×1,484 (205 KB) | Glitzy queen00 ( Talk | contribs) | (This image shows an Intracerebral haemorrage of a young woman. This bleed was spontaneous with no known trauma involved.) |
See the setup instructions for more information.
File links
The following file is a duplicate of this file:
The following pages on Schools Wikipedia link to this image (list may be incomplete):
Metadata
This file contains additional information, probably added from the digital camera or scanner used to create or digitize it. If the file has been modified from its original state, some details may not fully reflect the modified file.
| Y and C positioning | 1 |
|---|---|
| Exif version | 2.1 |
| Colour space | sRGB |
Categories: User-created public domain images
